Home
Patient Derived Xenografts(PDXs) Requesting Cell Lines and PDXs Protocols and SOPs Journal Citations
Data Archive End Note Library News
FAQ About Us Providing Samples
to Repository
Contact Us
Cart

Requesting Cell-lines and/or PDXs

Download Material Transfer Agreements

Open Distribution List MTAs


Investigators may request up to 10 cell lines (cumulative overall requests) with minimal project descriptions (to be briefly outlined in Attachment A of the MTA).

More cell lines and/or PDXs will require a more extensive project description/ justification or a collaboration.

Some previously published cell lines, with originating investigator approval, will be characterized by the Childhood Cancer Repository laboratories and made available through this website and utilize COG MTA.

1. Select the cell line(s)/PDXs by clicking each check box next to the cell line name.
2. Fill out the institutional or commercial/industry information at the bottom of the page.
3. Attach a fully signed MTA (including Attachment A)
4. Attach any additional documents required for your request (i.e. a justification for any request over 10 cell lines total)
5. Click Submit.



For all questions regarding requests and MTAs, please visit our FAQ page.


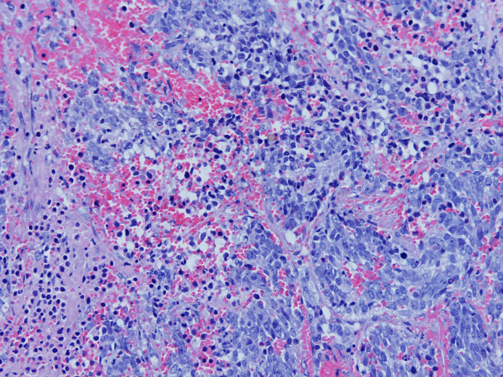
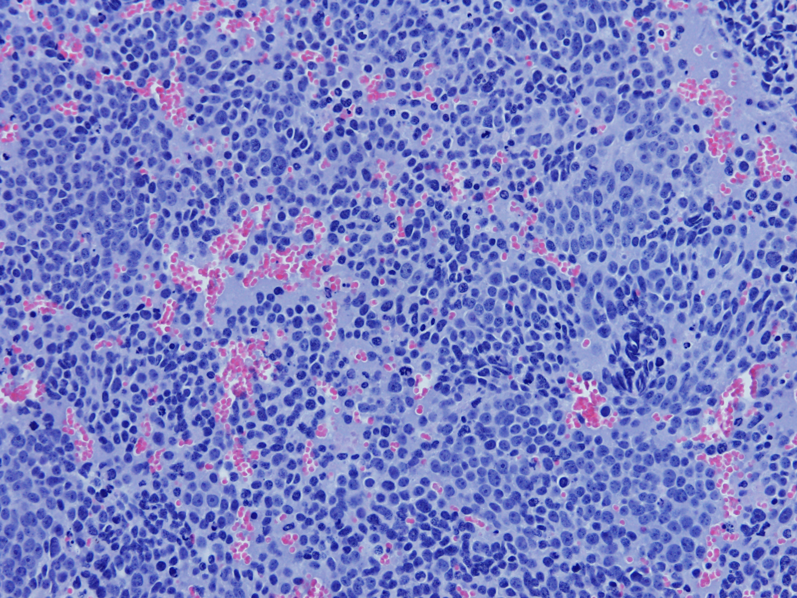
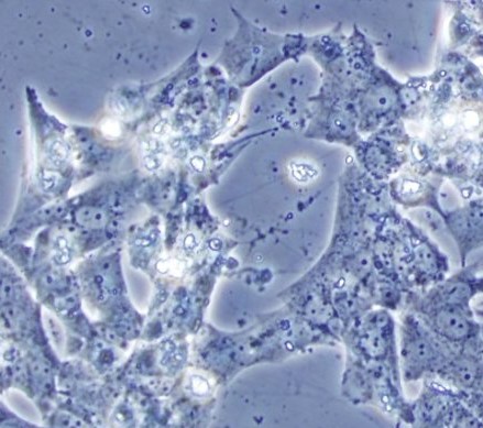
To view a complete cell line description (origin, growth conditions, pictures, etc.), click on the cell line name to open a pdf data sheet to view and/or download.

Cell lines ending in “h” are established and grown in 5% O2.
Cells ending in “h2” are established and grown in 2% O2.
Cells established and grown in serum-free neurobasal media will end with “nb”. PDXs, ending in an “x”, are patient direct and have never been in vitro. Xenografts ending in “m” are established from a cell line.

Open Distribution List MTAs PDFs

After completing and signing the MTA, upload it as a PDF file when prompted on our online cell request form or fax it to 806- 743-2691. Files MUST be in PDF format. File size may not exceed 2 megabytes.


To request cell lines that are not currently on the Open Distribution List or questions about the Childhood Cancer Repository contact us here.